
삼성서울병원과 삼성메디슨이 삼성서울병원 건강검진센터에서 삼성메디슨의 ‘티에이아이(TAI)’ 등 지방간 정량화 초음파 솔루션을 건강검진에 활용한 결과 기반 백서를 발간했다고 27일 밝혔다.
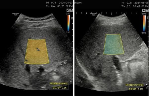
티에이아이는 초음파 신호가 간세포 내의 지방에 의해 약해지는 정도를 측정해 실시간으로 지방간을 정량화하는 기술로, 지난 2022년 9월 한국보건의료연구원으로부터 신의료기술로 인정받았다.
이번에 발간된 백서에는 삼성메디슨의 지방간 정량화 초음파 솔루션의 활용 의의를 시작으로, 삼성서울병원 건강의학본부 의국장 변영혜 교수 그룹이 지난 2년간 티에이아이를 사용하며 정립한 건강검진용 표준활용법 및 환자 관리 프로세스 관련 제안 사항 등이 담겼다.
티에이아이 상용화 이전 일반 초음파 진단기기를 활용한 지방간 검사는 시행 의료진의 주관적 판단에 따라 지방간의 중등도에 대한 진단이 달라질 수 있는 한계점이 있었다. 따라서 지방간 정도를 객관적으로 정량화하기 위해서 고가의 특수 MRI(MRI-PDFF)나 조직생검(biopsy)이 필요했다.
티에이아이는 간 내 지방 축적량을 수치로 정량화해 객관적으로 지방간 중등도에 대한 진단이 가능하게 하는 한편 측정 부위의 지방 침착 정도를 컬러로 시각화해 줘 진단을 돕는다. 또한 MRI에 비해 접근성과 편의성이 높으며 비침습적이라는 장점이 있다.
백서에 따르면 지방간 정량화 초음파 솔루션은 특히 정기적인 검진을 통해 대사 관련 지방간 의심 환자를 가려내는데 유용하고, 적절한 치료시기를 결정하는데 도움을 준다.
변영혜 삼성서울병원 교수는 “티에이아이를 통한 비침습적 검사는 간에 지방이 축적된 양을 백분율로 표시해주어 의료진이 환자와 직관적으로 소통할 수 있게 해준다”며 “지방간은 반복적인 추적검사를 통해 변화량과 진행 상태 등을 모니터링해야 하는 질병이기 때문에 환자 관리에도 적극 활용하고 있다”고 말했다.
방원철 삼성메디슨 한국사업개발팀장은 “간암, 심혈관 질환으로 연결될 가능성이 높지만, 적절한 치료 시기를 놓치기 쉬운 질병인 대사 관련 지방간질환의 정량적 진단을 돕기 위해 티에이아이 기술을 개발했다”며 “지방간 정량화 초음파 솔루션이 전국 병의원에 확대돼 국민 건강 증진에 도움 되길 기대한다”고 전했다.